乳牙仲未嚟掉,新牙就長出嚟。剝?定係唔剝?
“哎呀,兒子乳牙仲未嚟掉,點解側邊好似開始長牙嚟?醫生你快幫我睇下呢個係點嚟嘅……“
幼稚園高年級同小學低年級嘅家長們,呢個情節係唔係經常遇到嘅?
點解會發生呢種事情嘞?
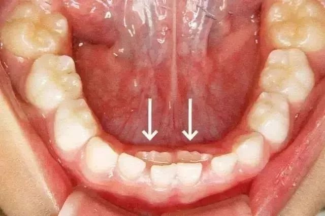
小朋友呢個係乳牙還冇脫落,新牙就長出嚟了,表現係”雙排牙“現象。呢種情況就係我地所講嘅“乳牙滯留”。

箭頭所指係恆牙
乳牙滯留有以下兩種情況:
1、 繼承恆牙已萌出,而乳牙未脫落,稱早期滯留;
2、恒牙未萌出,但已超正常換牙年齡極限仍未脫落嘅乳牙,稱晚期滯留;
乳牙滯留的原因有很多,比較常見嘅原因係而家嘅細路仔飲食過於緻密,牙弓長度發育唔足,繼承恆牙冇地方長造成萌出方向異常,乳牙牙根吸收唔完全,所以唔能夠自行脫落。
遇到乳牙滯留形成的“雙排牙”,家長應該盡快帶孩子到牙科醫院揪除滯留乳牙,為恆牙嘅發育騰出位置。
把擋到萌出恒牙的乳牙揪掉!!!
對恆牙已經萌出但乳牙仍未脫落嘅滯留牙,應盡快揪除,避免影響恆牙正確位置嘅萌出。
但是超過換牙年齡而乳牙未脫落,恆牙又未萌出嘅話,則不要輕易揪掉,如果恆牙先天性缺失,應儘量保持乳牙。


現在市面上嘅兒童食品越來越多以高糖、精細、質軟為主。而進食呢啲食物易導致兩大問題。
首先,糖類食品(尤其係甘蔗糖)同齒齦發炎有好緊密嘅關係,係主要造成齒齦發炎嘅因素。而小寶寶尤其喜食糖類食品,經常食呢啲嘢又唔即時刷牙,糖液就容易沈積喺牙齒嘅小凹窩度、噴裂溝同細紋等難清潔嘅地方,喺導致齒齦發炎細菌嘅參與下大量產酸,呢啲酸同牙齒面長期接觸,再加上細菌代謝產物嘅作用,就會產生齒齦發炎。

其次,過頻地進食精細、質軟及黏稠性強嘅食物,使正處喺發育階段嘅顱、顎、面、牙齒及牙齒周圍組織得唔到應有嘅生理性刺激,使得顎骨發育不足,使將要孟出嘅恆牙嘅牙量同骨量唔成正比,而導致替換恆牙孟出排列唔齊,發生牙列擁擠畸形。恆牙嘅擁擠唔齊又容易使新生嘅恆牙發生龍齒。★六歲細路滿口爛牙,家長你嘅常識喺邊度
想想睇,自己屋企有冇各種料理機,研磨機,經常各種糊啊汁啊,比寶寶多加一餐?
仲未到換牙期嘅爸爸媽媽地,你哋仲有機會避免呢種情況喎。
俗話講得好,“粗茶淡飯好養人”,食物對乳牙嘅刺激作用可以促使乳牙正常脫落,鼓勵小朋友多食啲硬質粗纖維嘅食物,比如豆類、甘蔗、玉米等等,啃起嚟!

養成早晚刷牙、飯後漱口,尤其係食甜食後要認真漱口嘅衛生習慣。
正喺發育期間嘅細路家長應該監督細路改正唔良嘅習慣:咬嘴唇、咬舌頭、吹口哨、咬鉛筆等。