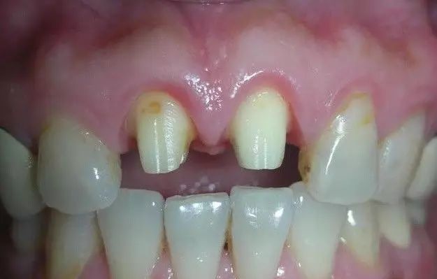
喺做烤瓷牙嘅時候,好多人都覺得不滿,
原本想鑲牙,無端端磨走兩邊牙齒,
最終全口牙都磨咗啦,燒瓷齒連埋3顆戴上嚟,
多咗2顆感覺特別貴。
事實上,戴燒瓷齒真係會傷害牙齒嗎?

就係最近架,有啲人問小編,“點解我一顆牙齒壞咗,我要鑲牙都要磨掉我兩邊嘅牙齒?我啲兩個都係好牙囉!”噉咁今日就嚟傾嚇口腔啲問題啦~
現在的口腔醫生喺做烤瓷牙嘅時候,好多人都覺得不滿,原本想鑲牙,無端端磨走兩邊牙齒,最終全口牙都磨咗啦,燒瓷齒連埋3顆戴上嚟,多咗2顆感覺特別貴,現實中,戴燒瓷齒真係會傷害牙齒嗎?

實際上,戴烤瓷牙有好處有壞處!醫生鑲一粒,磨兩邊牙齒係為咗固定缺失位置嘅烤瓷牙,你要知道烤瓷牙冇獨立牙根,想成為獨秀幾乎唔可能,除非牙根仲係度,根管治療戴一粒烤瓷牙冠,所以,磨牙唔係因為醫生坑。如唔想磨兩邊牙齒,可以揀做植牙,植牙確實勝過烤瓷牙。

“咁烤瓷牙真係冇亮點咩”?
唔係!呢個同烤瓷牙材料有關,像牙齦變黑同牙齦出血兩個症狀,部分燒瓷牙金屬內冠,可能刺激牙床好嚴重,有啲灰色氧化物會沈積喺牙床邊緣,有啲病人對珍貴金屬過敏,所以鈷鉻合金和貴金屬材料不太適合,如果揀全燒瓷牙其實可以避免,一般醫生會先建議全燒瓷修復。

“ 噉鑲燒瓷牙好定直接植牙好”?
首先,兩者最大嘅分別係有冇牙根,植牙係真實嘅牙齒,啊食物嚼得比假牙強好多,缺點係價錢太貴,而家仲冇任何醫療保險報銷,經濟有限嘅情況下,只能磨嗰兩邊牙齒鑲烤瓷牙,當然都可以揀做活動假牙,只要保養得宜,仲可以用得耐啲10大慨有年左右。

“ 噉鑲牙揀活動假牙唔就啱喇”?
活動假牙價格係真係好吸引,都方便取戴同埋清潔,一般通常用金屬嚟做支撐,樹脂就係用黎做牙齦啦,聽落似烤瓷牙好過好多,但你都要諗番,喺口裡啊食嘢種體驗,一般老人多啲用,所以,烤瓷牙擁有牙體這樣一點已經有好大優勢。

有啲人諗住唔鑲牙冇乜事,點知之後牙齒缺失位,連隔壁兩顆牙齒都鬆咗脫落喇,所以,牙齒有問題一定要盡早治療啊。