楔状缺损係牙齒喙側頸部硬組織慢慢損耗所致嘅缺損,因為呢種缺損通常呈楔形嘅樣子而得名。
好多病人會出現敏感、牙齦退縮嘅徵狀,嚴重嘅情況甚至會令牙髓暴露同牙齒斷裂。
對於楔狀缺損嘅治療,一般會使用填補嘅方法。由於缺損嘅位置比較特殊,隔濕相對困難,填補物脫落嘅情況時有發生。我哋可以使用橡皮障,用樹脂突嘅方式進行隔濕,效果非常好。
呢度有一個病例作為展示,希望對大家有所幫助。
病人係男性,55歲,係攝影師。佢嚟就診嘅原因係牙齒敏感。
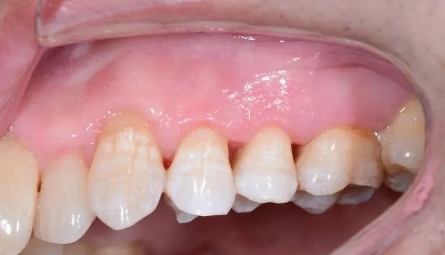
24號同25號喙側頸部有楔狀缺損,探診時敏感,冷測時亦敏感。

我哋經過同病人嘅溝通,決定使用樹脂填補。
局部麻醉之後,上橡皮障。

用小挖匙壓牙齦向牙齦方向,可以見到缺損完全暴露。

喺根面塗上自酸粘結劑,製作樹脂突。



樹脂突可以稍長一啲,已經可以固定橡皮障。

對於24號牙,我哋亦製作樹脂突,翻轉橡皮障,可以見到缺損完全暴露出來。

對於牙體,進行預備工作同清理缺損表面。

隔濕唔係問題,填補就簡單啦。


用手術刀整理樹脂邊緣,去除樹脂突,同埋清理根面殘餘嘅粘結劑。



抛光

取下橡皮障,效果仲唔錯吧?

